愛あるセレクトをしたいママのみかた

妊娠8ヶ月のエコー(超音波)写真

ゼクシィBaby
妊娠8ヶ月のエコー(超音波)写真

© wlablack - Fotolia.com


どんどん大きくなる赤ちゃんにとっては子宮が狭く感じられるようになり、足を曲げて丸まった姿勢でいることが多くなります。

妊娠30週のエコー写真


発育の個人差がでてくる時期
体の機能がほぼ完成する時期。赤ちゃんの大きさなど発育に個人差が出始める頃でもあります。ただし、超音波検査で出すのはあくまでも推定体重で、実際よりも誤差は大きいもの。数値そのものより、前回よりその時期に合った増え方をしているかの推移を先生はチェックしているそうです。

妊娠8ヶ月のエコー(超音波)写真
背骨のそりなどに異常がないかもはっきりと見えるように。

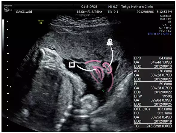
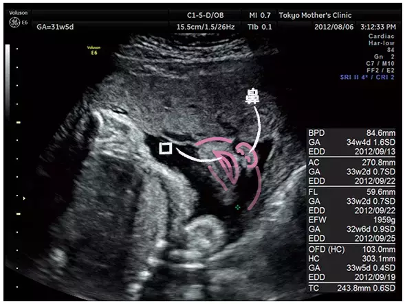
妊娠31週のエコー写真


妊娠8ヶ月のエコー(超音波)写真
赤ちゃんの顔を真下から見たところ。鼻の穴、口がひらいているところまで確認できる。

写真提供:東京マザーズクリニック
赤すぐ妊娠情報

提供:

ゼクシィBaby

この記事のキーワード