愛あるセレクトをしたいママのみかた

近大、ヒトES細胞をマウス胚に移植し分化させることに成功

マイナビニュース
近大、ヒトES細胞をマウス胚に移植し分化させることに成功
近畿大学(近大)は5月7日、ES/iPS細胞など従来型の多能性幹細胞とは大きく性質が異なる、新規の多能性幹細胞である領域選択型エピ幹細胞の樹立に成功したと発表した。

同成果は近畿大学農学部バイオサイエンス学科の岡村大治 講師らのグループによるもので、5月6日付(現地時間)の英科学誌「Nature」に掲載される。

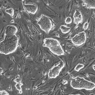
研究グループは今回、「(1)タンパク質FGF2、(2)小分子化合物Wntinhibitor、(3)無血清」という培養条件を満たすことで、着床前後のマウス胚から、領域選択型エピ幹細胞を樹立することに成功した。この条件下で培養したヒトES/iPS細胞を着床後のマウス胚の後極側(将来の下半身側)に移植すると、神経や筋肉の前駆細胞などに分化した。また、後極側に細胞塊を移植した時のみ定着・増殖・拡散・分化をするという、従来型の多能性幹細胞には見られない「領域選択性」を持つことが明らかになった。

今回の研究成果は、ヒト多能性幹細胞から異種間キメラ胚が作製可能であること示すもので、ヒトの臓器をブタなどの動物に作らせる技術へ発展する可能性がある。また、ヒトの着床後の初期発生の理解につながり、流産を防ぐための治療法の開発にもつながることが期待される。

提供元の記事

提供:

マイナビニュース

この記事のキーワード