愛あるセレクトをしたいママのみかた

【心配】「ものすごい勢いで…」 ワンオク・Takaがライブ中に左足を骨折、ファンからは?

grape
【心配】「ものすごい勢いで…」 ワンオク・Takaがライブ中に左足を骨折、ファンからは?

2025年9月1日、ロックバンド『ONE OK ROCK』のボーカル、Takaさんが、Instagramを更新。

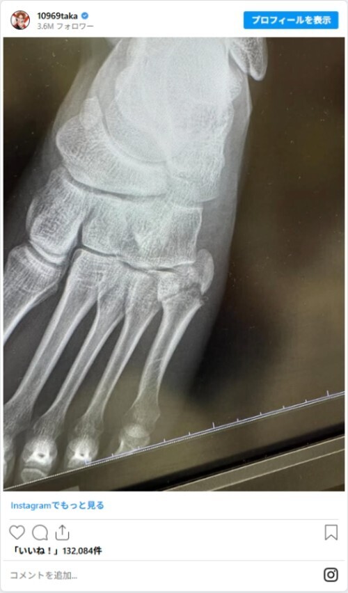
メッセージ動画とレントゲン写真を投稿し、ライブ中に左足を骨折したことを報告しました。

Takaがライブ中に負傷…応援の声続々


『ONE OK ROCK』は、同年8月16日から最新アルバムを携えた全国ツアー『DETOX JAPAN TOUR 2025』を開催中です。

同月30~31日には、神奈川県横浜市にある『日産スタジアム』で公演をおこないました。

初日の終演後にはInstagramで「日産スタジアム。さすがに70,000人の熱気はエグい」と投稿するなど、ファンの熱気に圧倒された様子を伝えています。

しかし、その盛り上がりが最高潮に達した2日目、Takaさんは左足を負傷。

動画では「人生初、公演中に足を骨折しました」と明かし、歌唱中に足を着いた際に左足小指の付け根を痛めたと説明。
「ものすごい勢いでぐちゃってなった」とその時の状況を語っていました。

Instagramには、「ポッキリ」と言葉を添えてレントゲンも公開。

【心配】「ものすごい勢いで…」 ワンオク・Takaがライブ中に左足を骨折、ファンからは?

出典:10969takaのスクリーンショット

今後は北海道、大阪公演を控えており、「正直この後、北海道と大阪があるから…もう悔しい気持ちがいっぱい」と心境を吐露しながらも、「全力でやる」と強い意志を示しました。

これを受け、ファンからは温かい声が続々と寄せられています。

・痛みに耐えてやりきったのは本当にすごい!お大事に。

・プロ根性に脱帽した。無理しない範囲で全力を見せてほしい。

・つらいだろうけど北海道、大阪の成功も祈ってます!

突然のアクシデントにもかかわらず、前を向き続けるTakaさん。
その姿勢は、多くのファンに勇気を与えているようです。

北海道や大阪公演でも、『ONE OK ROCK』らしい熱いステージが届けられることを願いたいですね。

[文・構成/grape編集部]

提供元の記事

提供:

grape

この記事のキーワード