台東区 いわせ犬猫クリニック、脳神経外科&CT・MRI検査をより低価格で提供開始
いわせ犬猫クリニック(院長:岩瀬 英一郎、東京都台東区東浅草2-28-16、以下 当院)では、脳神経外科や精密画像診断の専門家を招き、高い質の治療や検査を提供しています。2022年3月からは価格を見直し、より低価格でご提供させていただくこととなりました。かかりつけではない飼主様からの直接のご相談や検査依頼も受け付けております。
詳細ページ:https://www.iwaseinuneko.com/ct-mri
【脳神経外科や精密画像診断(CT・MRI)を低価格で提供したいという院長の想い】
動物医療の世界が日進月歩で進化する中で、飼主様にとっての治療の選択肢も広がりつつあります。
しかしながら、脳神経外科の治療やCT・MRI検査については、依然として高価格で提供されることが一般的で、大切なご家族である動物たちの治療にとっての大きなハードルになっていることは否めません。
当院では1頭でも多くの動物を救うため、そしてお一人でも多くの飼主様に納得して治療を受けていただくため、脳神経外科や精密画像診断の専門家を招き、高い質の治療や検査を従来にはない低価格でご提供しています。
また、当院の患者様はもちろんのこと、かかりつけではない飼主様からの直接のご相談や検査依頼も受け付けております(かかりつけ医のご紹介がなくても構いません)。
いわせ犬猫クリニック 院長 岩瀬 英一郎
【専門医による脳神経外科のご案内】
動物のてんかん発作、頭部外傷、脳腫瘍、脳血管障害、先天異常などの脳神経疾患は、人同様にあらゆる治療法が存在します。
しかしながら、多くの獣医師にとって脳神経に関する専門的な診断や手術を行うことはまだまだ難しいことです。
当院では栃木県の安部どうぶつ脳神経外科クリニックより、獣医師であり人間の脳神経外科の専門医でもある安部 欣博先生を定期的にお招きし、脳神経外科の症例を担当していただいています。
安部先生のご厚意もあり、検査から治療まで、他院では実現が難しい低価格でご提供しております。
安部先生は動物の脳神経外科を学ぶために、人間の医師免許を取得して脳神経外科専門医となられたという経歴をお持ちで、多くのヒトの脳神経外科手術にも携わられた方です。
獣医療の世界では、脳神経外科分野の第一人者です。
安部どうぶつ脳神経外科クリニック 安部 欣博先生
<安部 欣博先生ご経歴>
1999年 酪農学園大学獣医学部獣医学科卒業 獣医師免許取得
2000年 獨協医科大学医学部入学
2006年 獨協医科大学医学部卒業 医師免許取得
2008年 獨協医科大学脳神経外科入局
2011年 日本小動物医療センター非常勤
2012年 脳神経外科専門医取得
2015年 上都賀総合病院脳神経外科医長
2017年 医学博士取得
安部どうぶつ脳神経外科クリニックHP
https://www.doubutunou.com/
【画像検査のご案内】
当院では少しでも患者様の負担を減らし、かつ高品質な画像検査をご提供できるよう、浅草犬猫画像診断センターを併設し、最新の医療機器を導入して検査を実施しております。また最先端の検査を少しでも受けていただけるよう、低価格で検査をご提供しています。
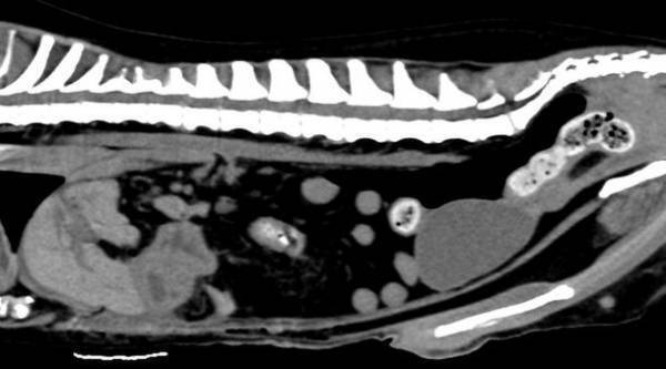
■CT検査
X線を用いて対象を360度方向から連続的に撮影することで全身の断層像を短時間で得ることができます。
CT検査画像
GE社製 64列128slice CT装置 Revoluion EVO
■MRI検査
強力な磁石と電波を用いて体内の水・脂肪成分の情報を収集し、断層像を得る検査です。軟部組織のコントラストが非常に優れているため、特に脳や脊髄といった中枢神経系の検査に威力を発揮します。
MRI検査画像
GE社製 1.5T MRI装置 SIGNA Explorer
当院では画像診断担当医として池田 彬人先生をお招きし、より正確かつ迅速な検査体制の確保に努めております。
<池田 彬人先生>
獣医師
第1種放射線取扱主任者
獣医腫瘍科認定医II種
日本小動物医療センター 画像診断科
東京大学附属動物医療センター 画像診断部
池田 彬人先生
【参考価格】
・脳腫瘍摘出手術 60万円~
・脳生検 30万円~
・MRI検査 5万円~
・CT検査 2万5千円~
<MRI検査を実施する場合の合計料金の明細の一例>
・初診料・カルテ登録料 2,500円(再診の場合は800円)
・血液検査 12,200円(かかりつけ病院で実施済の場合は不要)
・レントゲン検査 4,000円
・MRI検査 50,000円
[合計] 68,700円
※患者様の状態や検査内容により変動する場合があります。
■事業概要
商号 : いわせ犬猫クリニック
社名 : 有限会社いわせ犬猫クリニック
代表者 : 院長 岩瀬 英一郎
所在地 : 〒111-0025 東京都台東区東浅草2-28-16
設立 : 1997年
事業内容: 動物病院
URL :https://www.iwaseinuneko.com/
【本件に関するお客様からのお問い合わせ先】
いわせ犬猫クリニック
Tel:03-3871-3122
詳細はこちら
プレスリリース提供元:@Press
詳細ページ:https://www.iwaseinuneko.com/ct-mri
【脳神経外科や精密画像診断(CT・MRI)を低価格で提供したいという院長の想い】
動物医療の世界が日進月歩で進化する中で、飼主様にとっての治療の選択肢も広がりつつあります。
しかしながら、脳神経外科の治療やCT・MRI検査については、依然として高価格で提供されることが一般的で、大切なご家族である動物たちの治療にとっての大きなハードルになっていることは否めません。
当院では1頭でも多くの動物を救うため、そしてお一人でも多くの飼主様に納得して治療を受けていただくため、脳神経外科や精密画像診断の専門家を招き、高い質の治療や検査を従来にはない低価格でご提供しています。
また、当院の患者様はもちろんのこと、かかりつけではない飼主様からの直接のご相談や検査依頼も受け付けております(かかりつけ医のご紹介がなくても構いません)。
いわせ犬猫クリニック 院長 岩瀬 英一郎
【専門医による脳神経外科のご案内】
動物のてんかん発作、頭部外傷、脳腫瘍、脳血管障害、先天異常などの脳神経疾患は、人同様にあらゆる治療法が存在します。
しかしながら、多くの獣医師にとって脳神経に関する専門的な診断や手術を行うことはまだまだ難しいことです。
当院では栃木県の安部どうぶつ脳神経外科クリニックより、獣医師であり人間の脳神経外科の専門医でもある安部 欣博先生を定期的にお招きし、脳神経外科の症例を担当していただいています。
安部先生のご厚意もあり、検査から治療まで、他院では実現が難しい低価格でご提供しております。
安部先生は動物の脳神経外科を学ぶために、人間の医師免許を取得して脳神経外科専門医となられたという経歴をお持ちで、多くのヒトの脳神経外科手術にも携わられた方です。
獣医療の世界では、脳神経外科分野の第一人者です。
安部どうぶつ脳神経外科クリニック 安部 欣博先生
<安部 欣博先生ご経歴>
1999年 酪農学園大学獣医学部獣医学科卒業 獣医師免許取得
2000年 獨協医科大学医学部入学
2006年 獨協医科大学医学部卒業 医師免許取得
2008年 獨協医科大学脳神経外科入局
2011年 日本小動物医療センター非常勤
2012年 脳神経外科専門医取得
2015年 上都賀総合病院脳神経外科医長
2017年 医学博士取得
安部どうぶつ脳神経外科クリニックHP
https://www.doubutunou.com/
【画像検査のご案内】
当院では少しでも患者様の負担を減らし、かつ高品質な画像検査をご提供できるよう、浅草犬猫画像診断センターを併設し、最新の医療機器を導入して検査を実施しております。また最先端の検査を少しでも受けていただけるよう、低価格で検査をご提供しています。
■CT検査
X線を用いて対象を360度方向から連続的に撮影することで全身の断層像を短時間で得ることができます。
得られる情報は非常に多く、悪性腫瘍の浸潤範囲や転移検索、臓器の形態的異常などを詳細に評価することができます。
CT検査画像
GE社製 64列128slice CT装置 Revoluion EVO
■MRI検査
強力な磁石と電波を用いて体内の水・脂肪成分の情報を収集し、断層像を得る検査です。軟部組織のコントラストが非常に優れているため、特に脳や脊髄といった中枢神経系の検査に威力を発揮します。
MRI検査画像
GE社製 1.5T MRI装置 SIGNA Explorer
当院では画像診断担当医として池田 彬人先生をお招きし、より正確かつ迅速な検査体制の確保に努めております。
<池田 彬人先生>
獣医師
第1種放射線取扱主任者
獣医腫瘍科認定医II種
日本小動物医療センター 画像診断科
東京大学附属動物医療センター 画像診断部
池田 彬人先生
【参考価格】
・脳腫瘍摘出手術 60万円~
・脳生検 30万円~
・MRI検査 5万円~
・CT検査 2万5千円~
<MRI検査を実施する場合の合計料金の明細の一例>
・初診料・カルテ登録料 2,500円(再診の場合は800円)
・血液検査 12,200円(かかりつけ病院で実施済の場合は不要)
・レントゲン検査 4,000円
・MRI検査 50,000円
[合計] 68,700円
※患者様の状態や検査内容により変動する場合があります。
■事業概要
商号 : いわせ犬猫クリニック
社名 : 有限会社いわせ犬猫クリニック
代表者 : 院長 岩瀬 英一郎
所在地 : 〒111-0025 東京都台東区東浅草2-28-16
設立 : 1997年
事業内容: 動物病院
URL :https://www.iwaseinuneko.com/
【本件に関するお客様からのお問い合わせ先】
いわせ犬猫クリニック
Tel:03-3871-3122
詳細はこちら
プレスリリース提供元:@Press