愛あるセレクトをしたいママのみかた

自治医科大、小児難病に遺伝子治療を実施 - 寝たきりから歩行練習が可能に

マイナビニュース
自治医科大、小児難病に遺伝子治療を実施 - 寝たきりから歩行練習が可能に
自治医科大学(自治医科大)は11月11日、小児神経難病の1つである芳香族Lアミノ酸脱炭酸酵素(AADC)欠損症患者2名に対し、遺伝子治療を行い、症状の改善が確認されたと発表した。同成果は同大学小児科学の山形崇倫 教授の研究グループによるもの。

AADCは、重要な神経伝達物質であるドパミンやセロトニンの合成に必須な酵素。ドパミンは運動機能を調節し、欠乏すると体をうまく動かすことができなくなる。また、セロトニンは睡眠、食欲、体温などの体のリズムや感情などの調節に関わっているとされる。

AADC欠損症は、生まれつきAADC遺伝子の変異により、AADCが働かなくなる疾患で、世界中で100例程度、国内では6例しか診断されていない希少疾病だ。典型例では生後1カ月以内に発症し、眼球が上転する発作や前進を硬直させる発作がみられる。また、自発的な運動は少なく、首もすわらず、ほとんどの患者は生涯寝たきりの生活を送る。


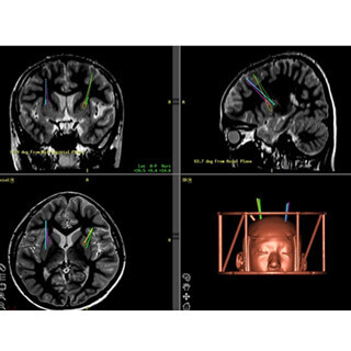
今回の治療が行われたのは15歳男子と12歳女子の兄妹で、治療前は手指をわずかに動かせる程度だった。また、眼球を上転させる発作からはじまる全身の強直発作がほぼ毎日、数時間みられていた。治療は脳にヒトAADC遺伝子を組み込んだベクターを注入するというもので、兄へは6月26日に、妹へは7月27日に実施された。

その結果、2名とも全身の発作がなくなったほか、治療1カ月後に兄は腕を挙げ、脚の曲げ伸ばしができるようにった。一方、妹は首がすわり、寝返りなどが可能となるなどの効果がみられ、現在では手を伸ばしてものをつかもうとするようになった。また、歩行器を用いながら足を使って前に進もうとする動きもみられるという。

今回の成果について研究グループは、AADC欠損症の治療が可能になっただけでなく、多くの難治性小児神経疾患に対する遺伝子治療法開発への第一歩を踏み出すものであるとしている。

提供元の記事

提供:

マイナビニュース

この記事のキーワード