愛あるセレクトをしたいママのみかた

TBSドキュメンタリー映画祭2024、初の海外招待作品の上映決定

ぴあ
TBSドキュメンタリー映画祭2024、初の海外招待作品の上映決定

(C)2023 DE BEZETTE STAD BY AND OCCUPIED CITY LTD. ALL RIGHTS RESERVED.



3月15日(金) より開催される『TBSドキュメンタリー映画祭2024』にて、初の海外招待作品が上映されることが決定した。

第4回の開催となる今年の『TBSドキュメンタリー映画祭』では、人種や戦争、社会問題など現代を取り巻く重要なテーマに迫る「ソーシャル・セレクション」、家族の形や身体的な障害など多様な生き方や新たな価値観を描く「ライフ・セレクション」、五感を司る表現者たちやテーマを通し新たな感性に出会う「カルチャー・セレクション」と、3つのテーマに沿って選ばれた15作品が上映予定。

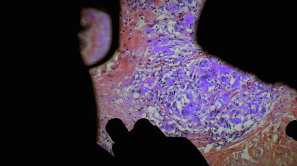
上映されるのは、実際の外科手術を医師の視点で撮影し、人間の体の神秘に迫るショッキングかつ感動的な異色のドキュメンタリー『人体の構造について(原題)』。『リヴァイアサン』『カニバ パリ人肉事件38年目の真実』といった話題作を共に手がけてきた、ルーシァン・キャステーヌ=テイラーとヴェレナ・パラヴェルの人類学者コンビが贈る衝撃作だ。普段なかなか目にすることのできないオペの様子を通じて、我々人間の体を構成する様々な臓器の神秘や儚さを映し出すと同時に、強烈なインパクトを残す作品となっている。

TBSドキュメンタリー映画祭2024、初の海外招待作品の上映決定


また、唯一無二の世界観で衝撃を与え続けるA24製作の『オキュパイド・シティ(原題)』も上映されることが決定、本作は、『それでも夜は明ける』『SHAME シェイム』のスティーヴ・マックイーンが贈る4時間を超えるドキュメンタリー。監督の妻であり歴史家のビアンカ・スティグターによる書籍「Atlas of an Occupied City (Amsterdam 1940-1945) 」をベースに、オランダ・アムステルダムのナチス占領下の記憶と新型コロナウイルスによる緊急事態下の風景が、驚くべき形で重なり合ってゆく。

<作品情報>
『人体の構造について(原題)』

TBSドキュメンタリー映画祭2024、初の海外招待作品の上映決定

『人体の構造について(原題)』ビジュアル
監督:ルーシァン・キャステーヌ=テイラー&ヴェレナ・パラヴェル

『人体の構造について(原題)』予告


(C)Norte Productions - CG Cin?ma - S.E.L - Rita Productions - 2022

『オキュパイド・シティ(原題)』

TBSドキュメンタリー映画祭2024、初の海外招待作品の上映決定

『オキュパイド・シティ(原題)』ビジュアル
監督:スティーヴ・マックイーン

『オキュパイド・ シティ (原題)』予告


(C)2023 DE BEZETTE STAD BY AND OCCUPIED CITY LTD. ALL RIGHTS RESERVED.

<イベント情報>
『TBSドキュメンタリー映画祭2024』

3月15日(金) より東京、大阪、京都、名古屋、福岡、札幌で順次開催

TBSドキュメンタリー映画祭2024、初の海外招待作品の上映決定

『TBSドキュメンタリー映画祭2024』キービジュアル
東京:3月15日(金)~28日(木) ヒューマントラストシネマ渋谷
大阪:3月22日(金)~4月4日(木) シネ・リーブル梅田
愛知:3月22日(金)~4月4日(木) センチュリーシネマ
京都:3月22日(金)~4月4日(木) アップリンク京都
福岡:3月29日(金)~4月11日(木) キノシネマ天神
札幌:3月30日(土)~4月11日(木) シアターキノ

公式サイト:
https://www.tbs.co.jp/TBSDOCS_eigasai/

(C)TBS

提供元の記事

提供:

ぴあ

この記事のキーワード